🔬 Лабораторная работа №1

Вычисление линейного увеличения клеток с использованием микрофотографий

Цель: 9.4.2.2 - вычислять линейное увеличение клеток, используя микрофотографии

📖 Теоретические основы

🔍 Линейное увеличение микроскопа

Линейное увеличение - это отношение линейных размеров изображения к действительным размерам объекта.

📐 Формула расчета:
М = L / l

где:

  • М - линейное увеличение (безразмерная величина)
  • L - размер изображения объекта (мм)
  • l - действительный размер объекта (мм)

🧬 Строение митохондрий

Митохондрии - это двумембранные органеллы эукариотических клеток, выполняющие функцию "энергетических станций".

  • Размеры: длина 0.5-1.5 мкм, ширина 0.2-0.7 мкм
  • Внешняя мембрана: гладкая, ограничивает органеллу
  • Внутренняя мембрана: образует выросты - кристы
  • Матрикс: внутреннее содержимое митохондрии

📏 Единицы измерения в микроскопии

1 мм = 1000 мкм = 1 000 000 нм
1 мкм = 0.001 мм = 1000 нм
1 нм = 0.000001 мм = 0.001 мкм

🔬 Практическая работа

Шаг 1: Изучите микрофотографии

Рассмотрите представленные электронные микрофотографии митохондрий:

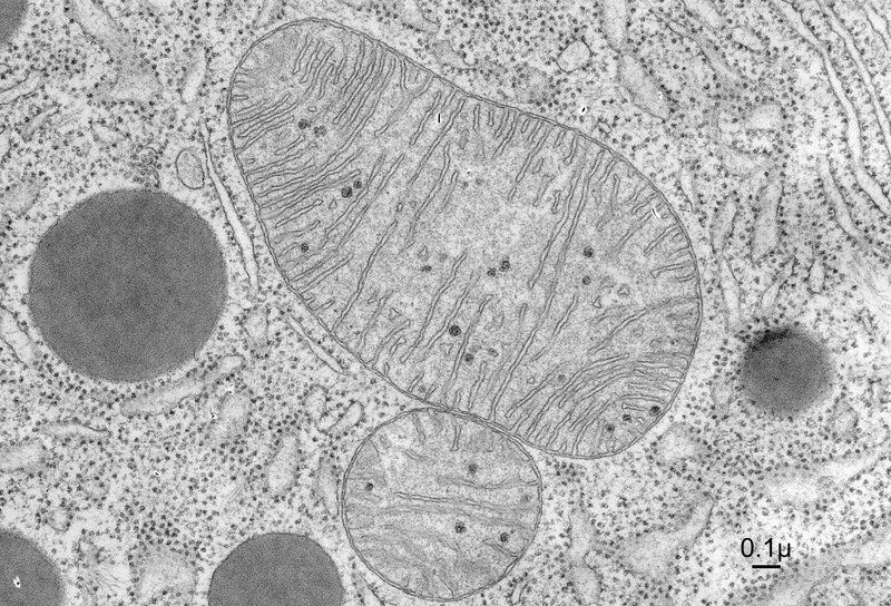
🔬 Микрофотография 1
Митохондрия с масштабной линейкой

Митохондрия с масштабной линейкой 0.1 мкм. Хорошо видны кристы и двойная мембрана.

🔬 Микрофотография 2
Детальная структура митохондрии

Детальная структура митохондрии. Четко различимы внутренние мембранные структуры.

🔬 Микрофотография 3
Крупная митохондрия

Крупная митохондрия с хорошо выраженными кристами и матриксом.

Шаг 2: Выполните измерения

Используйте линейку для измерения объектов на экране:

1

Приложите обычную линейку к экрану

2

Измерьте длину митохондрии на изображении в мм

3

Если есть масштабная линейка - измерьте и её

4

Введите данные в калькулятор для расчета

💡 Советы для точных измерений:
  • Измеряйте самую длинную часть митохондрии
  • Убедитесь, что линейка прилегает к экрану
  • Повторите измерение несколько раз
  • Используйте масштабную линейку для калибровки

Шаг 3: Заполните таблицу измерений

Изображение Размер на экране (мм) Действительный размер (мкм) Увеличение
1 Митохондрия 1 -
2 Митохондрия 2 -
3 Митохондрия 3 -

🧮 Калькулятор увеличения

мм
мкм

📊 Результат:

- раз
📐 Пошаговый расчет:
Введите данные для расчета

🔄 Конвертер единиц

📝 Проверка знаний

Вопрос 1 из 5
Что показывает линейное увеличение микроскопа?

📄 Протокол лабораторной работы

Цель работы:

Научиться вычислять линейное увеличение клеток, используя микрофотографии

Ход работы:

  1. Изучили теоретический материал о линейном увеличении
  2. Рассмотрели микрофотографии митохондрий
  3. Выполнили измерения размеров объектов на экране
  4. Рассчитали линейное увеличение по формуле М = L / l
  5. Проанализировали полученные результаты

Результаты измерений:

Заполните таблицу измерений в разделе "Практика"

Выводы: